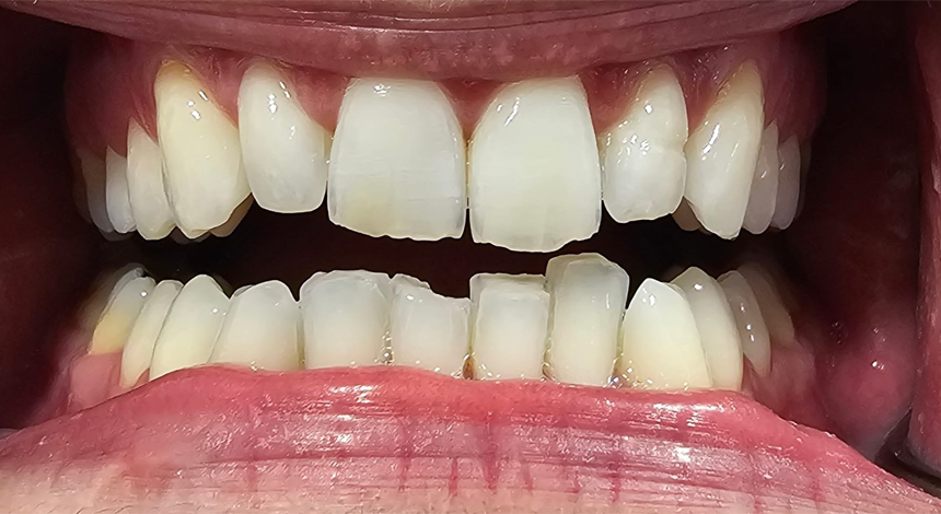
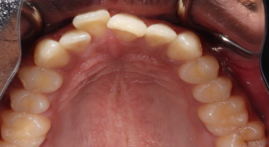
Will it actually work for me?
Clear aligners treat the majority of cases — crowding, gaps, mild bite issues, and more. The only way to know for certain is a proper clinical assessment, which is exactly what a consultation gives you. We'll be honest if aligners aren't the right fit.













